![]() |
| 矯正牙齒,我推薦彰化英棋牙醫! |
矯正牙齒原來可以輕鬆又快速!
一直以來因為"戽斗"造成牙齒不整齊,所以從小到大對於牙齒整齊的人都相當羨慕,總是不敢開口大笑,給人好像不開心的感覺,在家人的鼓勵下終於使我鼓起勇氣想要進行牙齒矯正,原本到作傳統矯正的診所諮詢,那位醫師是說因為"戽斗",下顎必須拔掉2顆小臼齒,且要打至少2支骨釘,矯正時間也必須長達2年半左右,聽到之後我就怯步了,主要是對於骨釘,聽起來好像很痛的感覺,另外時間也有點久!
後來經過朋友介紹,聽說彰化英棋牙醫診所有一種新的LH矯正,好像不太一樣,對於療程的建議也和之前有很多的不一樣,彰化英棋牙醫的醫師表示我的案例是不需要打骨釘,也不用拔牙,另外時間大約1年左右,諮詢完我當下就決定要在英棋矯正牙齒,主要也是醫師和助理們專業及親切的態度,在治療的過程中,我的醫師每次都很用心的幫我處理各種矯正過程遇到的問題,也讓我對矯正後的成果相當有信心,每一次的治療我都覺得又往前邁進一大步,牙齒也愈來愈好看,整個心情也更著變開朗了,自信倍增!
最後,當然矯正成果果然十分令我相當滿意,現在的我比以前更有自信,拍照時也喜歡大方露出自己的笑容,也覺得看牙醫是件很開心的事,真的很感謝英棋牙醫醫療團隊的幫忙。
CASE介紹:
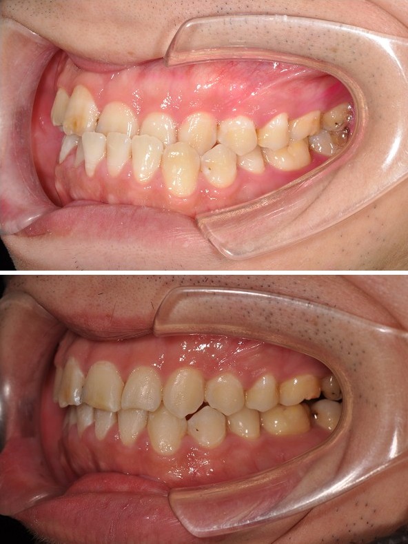
患者:陳伯勳/年齡:25歲
患者年約25歲,於門診中表示有戽斗的情形,希望藉LH牙齒矯正改善;經醫師評估後,建議患者進行LH矯正治療;矯正時間1年2個月。
![]() |
| 正面 矯正前後比對,經矯正後,咬合狀況良好! |
![]() |
| 側面 矯正前後比對,側面狀況良好! |
![]() |
| 側面 矯正前後比對,側面狀況良好! |

.jpg)

